
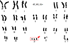
Détecter la trisomie 21
Aujourd’hui, les avancées médicales très pointues permettent de détecter ma trisomie 21 très tôt. En effet, dès le 1er trimestre de grossesse, il est possible pour une femme de passer un test afin de savoir si son enfant est normal ou non. Mais ce test n’est pas généralisé et chacune est libre ou non de le passer dans le but de détecter la trisomie 21. Il faut toutefois savoir que plus une femme prend de l’âge, plus elle risque d’avoir un enfant trisomique. Cette anomalie chromosomique si fréquente est la première cause de retard mental en France.
Détection de la trisomie 21
Lorsqu’on parle de dépistage de trisomie 21, tout commence par une échographie, dont la première doit se faire entre la 10e et la 13e semaine de grossesse. Cette première fois permet de mesurer la clarté nucale, c’est-à-dire de l’espace clair dans le cou dont la dimension renseigne sur le risque d’anomalies. Si la nuque fait moins de 3 mm, tout va bien. Au 2e trimestre de grossesse, la femme enceinte doit subir une prise de sang. Et la 2e échographie de la 22e semaine permet de rechercher d’éventuelles malformations chez le fœtus. Ce sont en général les démarches de détection de trisomie 21.
Effectuer ou non la détection de la trisomie 21
À chaque étape, ou plus précisément après chaque test pour déterminer une éventuelle trisomie 21, le facteur de risque est calculé. S’il est bas, dans les 1/1000 par exemple, pas de crainte à se faire. Mais si le risque est élevé, autour de 1/100, il est probable que l’enfant à naître soit atteint de trisomie 21. L’amniocentèse n’est pas obligatoire mais plus de 10% des femmes enceintes la pratiquent. Le test est fiable en France et entre 85 et 90% des cas de trisomie ont été détectés grâce à cette pratique.




